
Rottura legamento crociato
La rottura del legamento crociato è la causa più frequente di zoppia agli arti posteriori nel cane. Questa patologia include l’avulsione traumatica del legamento, la rottura traumatica per eccessivo stiramento e la progressiva sua degenerazione.
La rottura traumatica acuta (non frequente) è dovuta alla rapida rotazione interna della tibia e/o ad un’ipertensione traumatica con carico eccessivo della zampa.
La rottura dovuta ad una degenerazione progressiva del legamento crociato risulta essere quella più riscontrata. La patogenesi non è tutt’oggi ancora ben chiarita e molteplici fattori predisponenti sono coinvolti.
Questa patologia interessa tutte le razze e può manifestarsi a qualsiasi età. Esistono comunque razze maggiormente predisposte come l’alano, il boxer, il bulldog, cane corso, dogue de Bordeaux, labrador retriever, mastino napoletano, pit bull, rottweiler, terranova, ecc.
Nei soggetti con rottura parziale del crociato la sintomatologia, almeno nella fasi iniziali, può essere lieve. Quando poi progredisce fino anche alla rottura completa il cane presenterà zoppia (maggiormente dopo sforzo), rigidità a freddo, facile affaticabilità fino a non appoggiare per niente l’arto interessato. Sintomatologia più eclatante invece l’avremo nelle rotture complete e recenti.
La diagnosi viene eseguita mediante visita clinica e radiografica / artroscopica al fine di confermare il sospetto ed escludere altri eventuali patologie.
Il trattamento conservativo è tollerato meglio nei pazienti sotto i 10 kg. La stabilizzazione chirurgica però è sempre raccomandata se si vuole ottenere e assicurare una funzionalità ottimale e ridurre i rischi di future complicanze articolari.
Esistono molteplici tecniche chirurgiche per stabilizzare il ginocchio. Possono essere riassunte in 3 gruppi: ricostruzioni extracapsulari (sutura fabello-tibiale, transposizione della testa della fibula, ecc), intraarticolari e osteotomie.
Le tecniche tradizionali extracapsulari, da un punto di vista clinico, portano ad un miglioramento nell’85% dei casi. In uno studio però questa tecnica ha avuto delle complicazioni nel 17% dei casi (infezioni, leccamenti, problemi con il bendaggio, dolori, gonfiori, rottura dell’impianto, ecc)
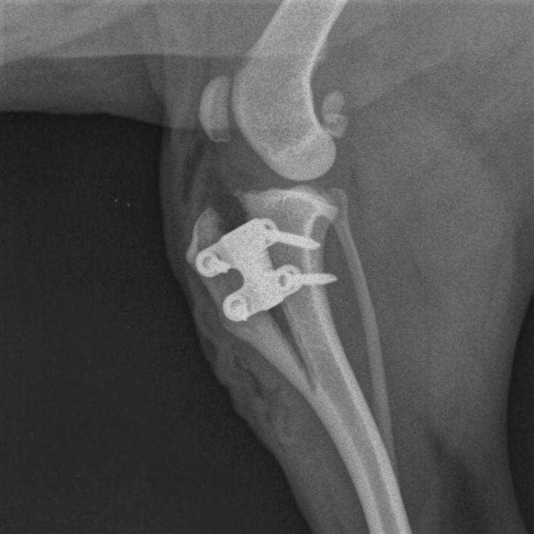
Tra le tecniche oteotomiche ricordiamo la TPLO (tibial plateau leveling osteotomy), la TTA (tibial tuberosity advancement), la TTO (triple tibial osteotomy), ecc. Queste osteotomie correttive trasformano le forze di scivolamento tra tibia e femore in forze di compressione annullando così il movimento tra le due ossa (lavoro che fisiologicamente svolge il legamento crociato integro). Questi tipi di interventi riducono le complicanze sia nel breve che nel medio-lungo periodo, dando una maggiore stabilità articolare e riducendo la formazione di artrosi di ginocchio.
All’interno del mio ambulatorio viene eseguito l’intervento di TTA-rapid. Questo intervento, in uno studio, ha dato risultati soddisfacenti nel 99% dei casi già dopo 3 mesi e nell’86% dei casi dopo 16 mesi.
K.M. Tobias, S. a. Johnston. Veterinary Surgery Small Animal. ed 2012 Elsevier
T. W. Fossum. Small animal Surgery. ed 2013 Elsevier
J Small Anim Pract. 2017 Jan;58(1):35-41. doi: 10.1111/jsap.12610: TTA-Rapid in the treatment of the canine cruciate deficient stifle: short- and medium-term outcome. Butterworth SJ1, Kydd DM2.
C. Mortellaro, M. Petazzoni, A. Vezzoni. Atlante BOA: Approccio ortopedico orientato alla razza. ed 2008 Innovet
Leave a reply




